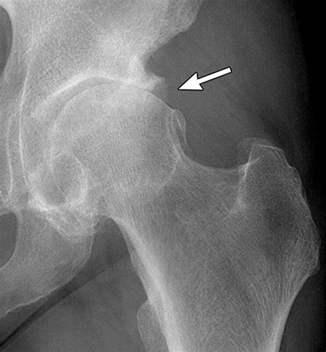
Better Imaging Will Detect Symptoms Of Fractured Hip Bone Faster
Join Better, a charitable leisure organisation with gyms, pools, sports, libraries, community programmes and more for everyone to enjoy. Learn more today. Better leisure centres, libraries, swimming pools, gyms, spas, pitches and other community spaces. Find you nearest centre and join the movement. Our range of memberships offer access to our facilities and activities. Find out more about gym and leisure centre memberships. With a Better monthly gym and leisure membership, you can enjoy inclusive access to UK-wide gyms, pools and fitness classes. Get active with Better. Find free and low-cost programmes to help you move more and feel better. Help your team stay active and healthy with workplace wellbeing solutions. Meet GLL, the charitable social enterprise behind.
Learn a new skill at Better with a wide selection of lessons and courses for kids and adults. From tennis to swimming, get active, make friends and have fun!
Lateral view of hip bone | Anatomy.app
