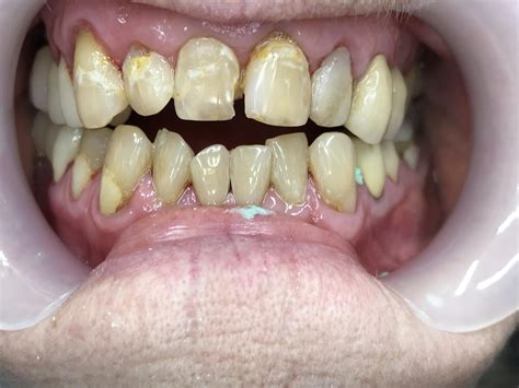
Implant Solutions Complex Cases Dallas Tx Are Restoring Smiles For Many
TY - JOURAU - Voigts, JakobAU - Siegle, JoshuaAU - Pritchett, DominiqueAU - Moore, ChristopherPY - 2013/05/13SP - 8T1 - The flexDrive: An ultra-light implant for optical control and highly parallel.
Restoring Smiles, Building Hope - Penn Dental Medicine
