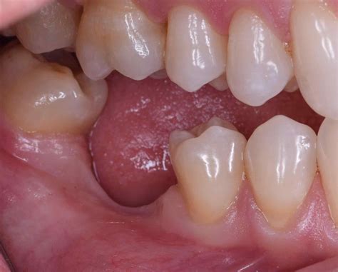
Specialists Explain How No Bone Solutions Work For Tooth Loss
Mar 27, 2026 · Medical doctors and specialists There are over to 130,000 medical doctors and specialists in Australia. Find out about their work, what we’re doing to increase their numbers in rural. Jun 13, 2025 · Medical doctors and specialists in Australia There are more than 104,000 medical doctors and specialists in Australia. They must abide by national legislation, guidelines and codes of conduct.. Jun 13, 2025 · Medical doctors and specialists become qualified to diagnose and treat illnesses, disorders and injuries after completing a medical course. They can specialise in different fields. They. Sep 21, 2025 · Rural generalists recognised as medical specialists Australia’s rural generalists are being officially recognised as a new speciality field within general practice. Jun 13, 2025 · A list of our initiatives, programs, campaigns, reforms or reviews related to medical doctors and specialists.
Tooth Extraction With Bone Loss at Steve Michelle blog
